Two convenient offices serving the south suburbs — the same trusted A to Z team, same standard of care, and same-day emergency visits when you need relief.
Why Patients Choose Us
Open Mon–Sat 9am–5pm at both locations
Call and we'll get you in today
No referrals, no bouncing between offices
Richton Park & Flossmoor, IL
About Dr. Zhang
Dr. Liqing Zhang has treated tens of thousands of patients across China, Canada, and the United States. Her background spans emergency room dentistry, oral surgery, periodontics, orthodontics, implants, endodontics, cosmetic dentistry, and plastic and bone surgery.
One patient visited 5 other dentists before finding Dr. Zhang — none could help. She handles it all in one office, start to finish.
"This is the first doctor I've ever worked with that didn't have to refer nobody out. She specializes in everything." — Vaniah Jefferson, Dental Assistant · As featured in Xinhua News Agency
Handles It All In-House— No Referrals Out
Most patients bounce between 3-4 offices before their problem is solved. At A to Z, Dr. Zhang handles everything from root canals and implants to extractions and orthodontics — one doctor, one office, start to finish.
Gentle Care — No Matter the Treatment
No judgment. Dr. Zhang is known for her gentle touch and comfort-first approach, even with the most anxious patients or the most complex cases.
We Explain Everything First
No surprise bills. No pressure. Every option explained in plain language before anything begins.
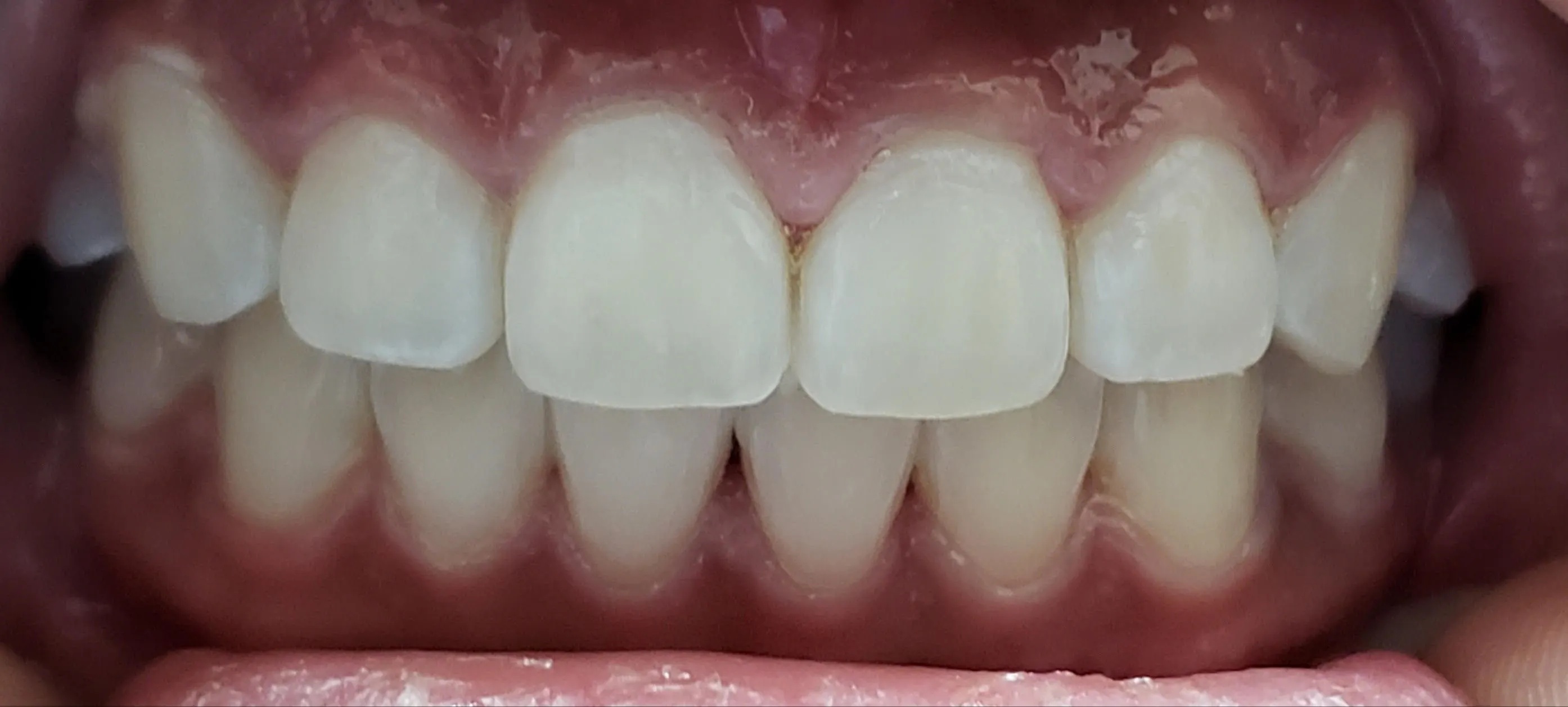
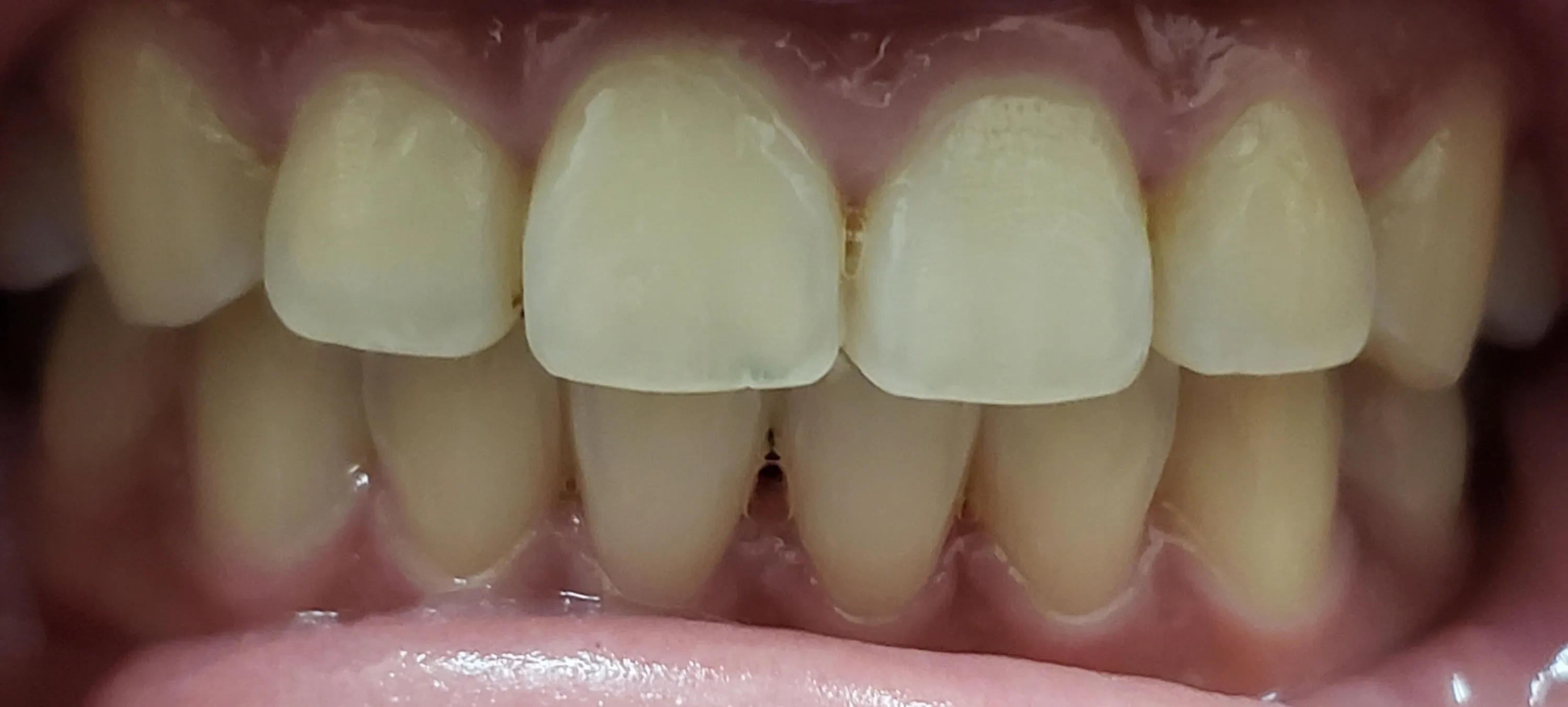
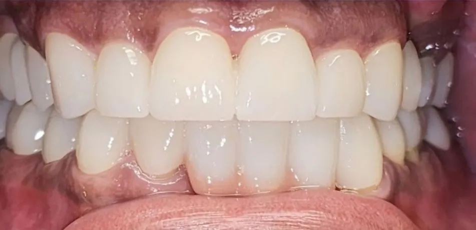
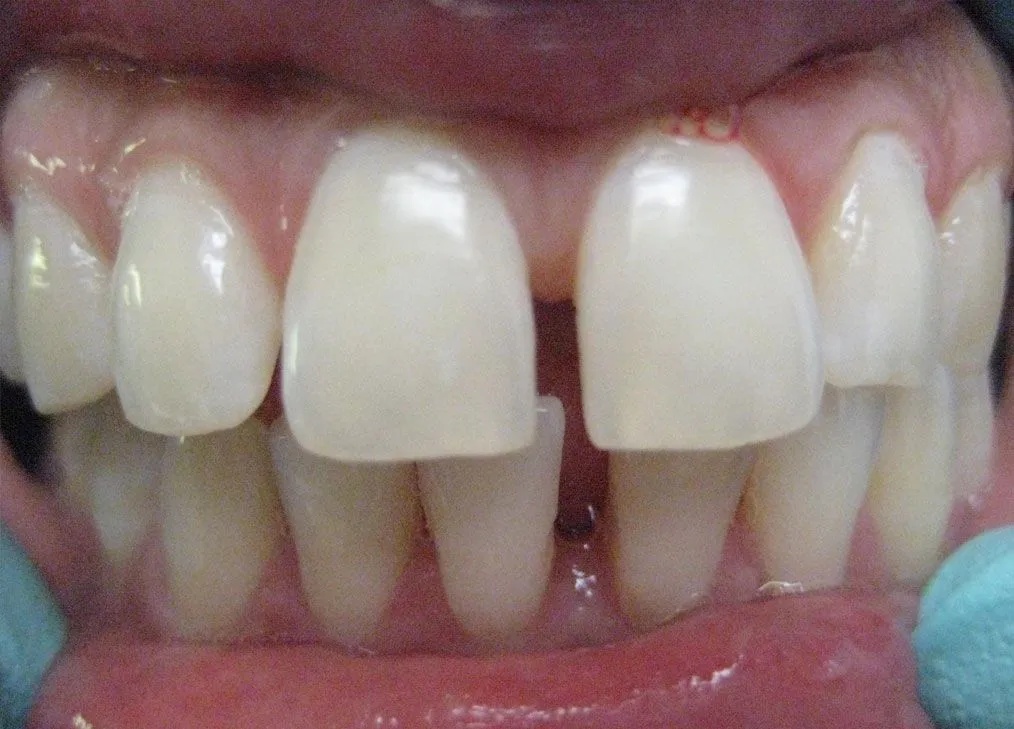
The Results Speak for Themselves
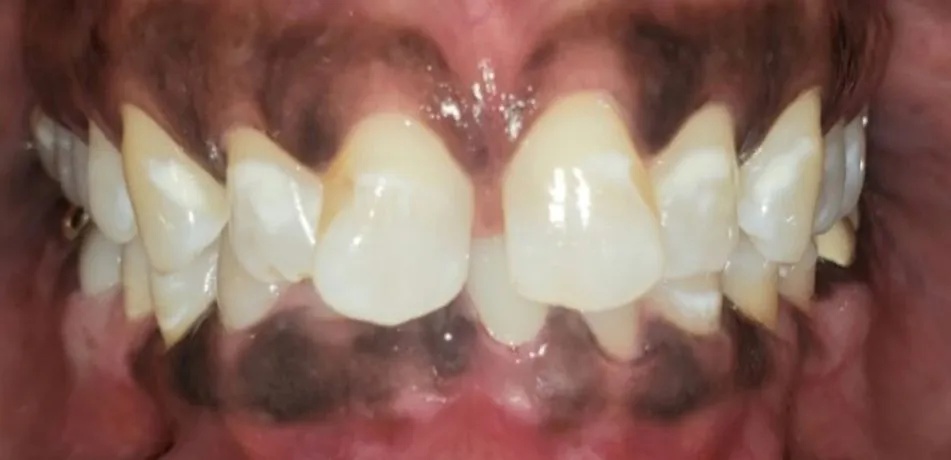
Every case below was handled entirely by Dr. Zhang — from first consultation to final smile.
Before
After
Before
After
Before
After
What We Treat
Whether you walked in with a toothache this morning or you've been thinking about implants for years — Dr. Zhang handles it all at both locations.
We Also Provide
How Can We Help You?
Same-day emergency care or planned treatment — Dr. Zhang's team at Richton Park & Flossmoor is ready for both.
🚨 Emergency
We offer same-day emergency appointments at both locations. Call now — don't wait for a callback.
📞 Call Richton Park — 708-481-2288 📞 Call Flossmoor — 708-957-2030For emergencies, calling is always faster than booking online
📋 Planning Treatment
Schedule at your convenience. We'll confirm your appointment and walk you through what to expect before you arrive.
Book Online →New patient exam available — call to ask about current specials
Flexible Payment Options
We offer 7 ways to pay — because everyone's situation is different. We walk you through your options before any treatment begins.
Apply in minutes and get same-day decisions on financing for any treatment. We accept Cherry, CareCredit, Proceed Finance, and Sunbit.
Most PPO plans accepted. In-network with Delta Dental and MetLife. HSA and FSA welcome.
No insurance? No problem. Get care now and pay over time at a pace that works for you.
Flexible financing options available through our trusted partners — apply in seconds, get a decision today.
Awards & Recognition
Dr. Zhang's commitment to excellence has been recognized by leading national organizations across multiple years.
Our Team
General & Specialty Dentist · Richton Park & Flossmoor
Dr. Zhang has practiced dentistry for over 20 years across China, Canada, and the United States, treating more than 70,000 patients. Her training spans oral surgery, periodontics, orthodontics, implants, and endodontics — meaning she handles cases most general dentists refer out. She founded A to Z Magic Dental in 2008 and remains the sole treating doctor at both locations.
What Patients Are Saying
See why families across Richton Park and Flossmoor have trusted Dr. Zhang with their smiles for over 20 years.
"I broke my front tooth and in just 1 appointment Dr. Zhang did a root canal and a temporary crown. Any other dentist would have needed 2 or 3 appointments — or referred me out to a specialist. My two implants, after two days, felt part of my mouth. I walked in with a broken front tooth and walked out with a Hollywood smile."
"Over the past two years I've been getting work done on my mouth. It's a beautiful, healthy mouth. I'm afraid of getting the shots to numb my mouth but the doctors and assistants are very gentle. Dr. Zhang has given me the confidence to smile at the world."
"They are the only dental office in my area that still answers the phone. I called on a Friday and got an appointment that Monday. When I said I felt pain the doctor would stop and administer more numbing medication. I've never had a dentist take such good care of me the way she did."
"I was always hiding my smile because I was ashamed. I could feel my confidence grow the entire year I had my braces. I even got them off a week before my birthday and I couldn't be happier. I love this place and my new smile!"
"I hadn't been to a dentist in many years, but A to Z made it as painless — both literally and metaphorically — as possible. It was done quickly for a good price, and the entire staff was kind, supportive, and attentive. I never felt judged for being away so long."
Common Questions
Everything you need to know before booking your appointment at our Richton Park or Flossmoor office.
Still have questions? We're happy to talk through everything before you book.
Book a Free Consultation →